ピコフラクショナル

ピコフラクショナルは、ピコレーザーを使用し、目に見えない程の微細な穴を皮膚に開けます。
レーザーを照射した皮膚は肌の再生力によってコラーゲンやエラスチンの生成を促進。徐々に新しい皮膚細胞に入れ替わっていきます。その結果、肌の凹凸や肌質改善効果が期待できる治療法です。
また、従来のフラクショナルレーザーと比べ、熱産生がほとんどないため、肌表面のダメージが少なく、痛みもダウンタイムも最小限に抑えた施術が可能になりました。
モードを変えて非侵襲的治療も可能
2つのモードでオーダーメイドの治療が可能です。
ピコフラクショナルレーザーには、アブレイティブとノンアブレイティブ(非侵襲的)の2つのモードがあります。
■アブレイティブモードは、従来のフラクショナルレーザーよりも高い効果が期待できる最新の治療法です。
従来のフラクショナル同様レーザーの熱作用に加えて、皮膚に微細な穴を開けることで、肌の再生を促します。コラーゲンやエラスチンの生成を促進し、ニキビ跡、毛穴の開き、傷跡、妊娠線などの改善効果が期待できます。
ニキビ跡のクレーターや毛穴の開きが気になる方はアブレイティブモードがおすすめです。
■ノンアブレイティブモードは、1064nmの波長を利用し、レーザーの衝撃波が表皮を傷つけることなく表皮内に微細の空砲を空けます。そのため、肌の自己治癒力を活性化させ、コラーゲンやエラスチンの生成を促進します。これにより、肌の再生を促し、肌質改善効果が期待できます。
表面麻酔なしでも施術可能で、肝斑や赤ら顔の色調軽減効果も期待できます。
ピコフラクショナルレーザーについて
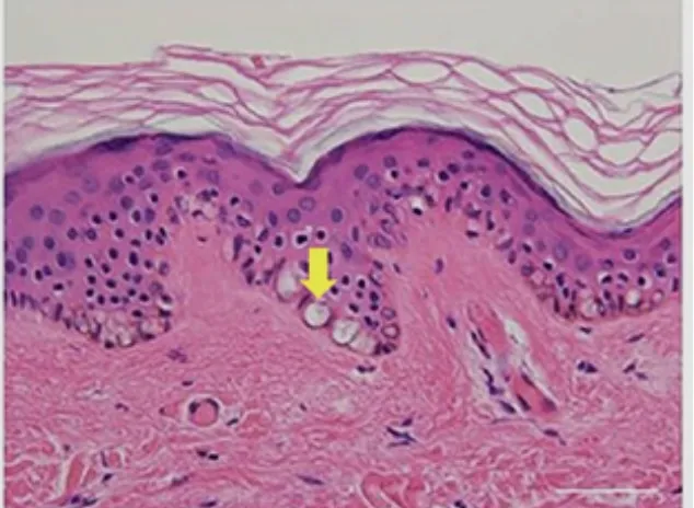
ピコフラクショナルレーザーの組織変化

ピコフラクショナル直後の変化
微細な空砲が真皮上にみられた
ピコフラクショナルレーザーの効果
肌の真皮入れ替え・お肌の若返り
- ニキビ跡
- 瘢痕(傷痕)
- 妊娠線
- 毛穴
- 小ジワ ハリ キメ
- くすみ 美白
- 赤ら顔
※ノンアブレイティブモード(非侵襲的)は、肝斑の色調軽減
治療の目安
1ヶ月に1回 1クール3~5回
ダウンタイム
平均 2~3日~1週間
- <施術直後>
- 赤み 腫脹 ひりつき 熱感 掻痒感
- <2~3日~1週間>
- 点状出血 赤み 腫脹 掻痒感 肌のごわつき ざらつき
- <1週間~10日>
- アブレイティブモードの場合は、かさぶたが剥がれ落ち鎮静される
治療の流れ 治療時間70分
- 洗顔
- 治療前に洗顔ルームで洗顔を行います。
- (クレンジング・洗顔等のご用意があります。)
- カウンセリング
- 表面麻酔 15~30分程度時間を置きます。
- 施術前に、麻酔の外用を行いますが、出力を上げることにより痛みを感じることがあります。
※別途麻酔料 ¥2000(税別)
- ピコフラクショナルレーザー照射
- オプション
- 成長因子導入剤+アルジネートマスク ¥10000(税別)
- 治療効果を高めるためにおすすめです。
- 冷却
- 外用剤塗布
目安 70分
1、洗顔
治療前に洗顔ルームで洗顔を行います。
(クレンジング・洗顔等のご用意があります。)2、カウンセリング
3、表面麻酔 15~30分程度時間を置きます。
施術前に、麻酔の外用を行いますが、出力を上げることにより痛みを感じることがあります。
※別途麻酔料 ¥2000(税別)
4、ピコフラクショナルレーザー照射
5、オプション
成長因子導入剤+アルジネートマスク ¥10000(税別)
治療効果を高めるためにおすすめです。6、冷却
7、外用剤塗布
ピコフラクショナルレーザーができない方
- 妊娠または授乳中の方
- ケロイド体質の方
- 対象部位に過度な日焼けをしている方
- 肌が弱く頻繁に肌荒れする場合
- 対象部位に皮膚疾患・感染がある場合
- 全身状態:膠原病などの自己免疫疾患の既往がある、重症の糖尿病や高血圧、心疾患
- アトピー体質の方
- 光線過敏症の方
- 光感受性を高める薬を内服/外用剤使用している方
- てんかん発作の既往がある方
- 治療部位に金の糸を入れている方
- ステロイド、金製剤を使用している方(もしくは金製剤を使用していた)
- イソトレチノイン(アキュテイン)内服している方
ピコフラクショナル料金表(自由診療)
| コース名 | 1回料金(税別) |
|---|---|
| ノンアブレイティブモード 初回 | 28,000円 |
| ノンアブレイティブモード 2回目以降 | 30,000円 |
| アブレイティブモード 初回 | 33,000円 |
| アブレイティブモード 2回目以降 | 35,000円 |
※部分施術希望の方は、5,000円値引き
フラクショナルレーザーの違い




